中科院最新研究 少年网瘾患者大脑活动近似吸毒

2015-06-25 14:30作者:新浪电竞来源:

  此前国内诸如陶宏开这类的专家、教授一直宣称,网络游戏如同“电子海洛因”“鸦片”一样残害着青少年。近日,这个论断得到了科学研究上的支持,中国科学院武汉物理与数学研究所研究员雷皓课题组近期在青少年网络成瘾的神经影像研究方面取得进展,研究结果表明,网络成瘾不仅影响青少年大脑结构发育,同时还影响脑功能连接,其异常连接模式类似鸦片产生的效果!

网络图片图像资料

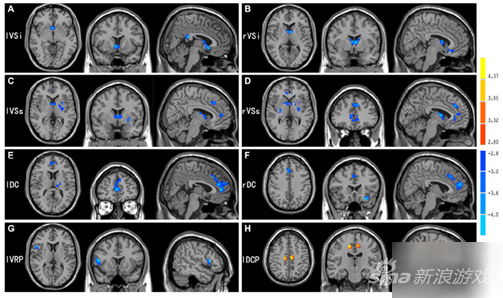
  该研究运用功能连接方法对青少年网瘾患者静息态脑功能磁共振图像进行了分析,发现患者皮层-纹状体神经环路存在功能连接异常,且异常程度与患者的网瘾程度和焦虑行为等显著相关。

  对比文献结果发现,青少年网瘾患者该环路的功能连接异常模式与鸦片等物质成瘾有类似之处。皮层-纹状体神经环路主要负责自主运动的控制、整合调节细致的意识活动和运动反应等功能,同时还与奖赏、情感、执行和控制等高级认知功能有关。

图像资料图像资料

  该系列研究说明网络成瘾不仅影响青少年大脑结构发育,同时还影响脑功能连接。这不仅加深了对网络成瘾神经机制的理解,而且为发展科学有效的青少年网瘾的干预手段和治疗方法提供了依据。

  该项工作第一作者、副研究员林富春是中科院青年创新促进会会员,同时也是中科院卢嘉锡青年人才奖的获得者。该研究得到了科技部“973”项目“基于影像的脑网络研究及其临床应用”和国家自然科学基金委创新研究群体“生物核磁共振波谱学”的支持。

  (来源:生物360  编辑:记川忘川)

官方微信

网上冲浪记事官方微信